В голове 85-летнего пенсионера в Пятигорске обнаружили опухоль размером с лимон
Скриншот из фото ГКБ Пятигорска
Читайте также:
- Сухожилие заменило связку: как в Железноводске провели уникальную операцию на колене (25.12.2025 19:12)
- Конец Терешина? Финальная операция и риск ампутации грозят синтоловому качку из Пятигорска Руки Базуки (02.12.2025 18:30)
- Ставропольские хирурги выполнили уникальную операцию по сохранению легкого ребенку (25.10.2025 09:10)
- Уникальную операцию на печени провели ребенку в Ставрополе (23.12.2024 18:15)
- Уголовным делом на Ставрополье обернулся отказ ребенку в операции (15.12.2024 17:39)
В больницу Пятигорска 85-летний пациент поступил с серьезными симптомами: левая нога и вся левая половина тела перестали слушаться. Клиническая картина была похожа на острое нарушение мозгового кровообращения, но результаты экстренной диагностики удивили даже опытных врачей. Подробности утром 13 января рассказали в Telegram-канале ГКБ Пятигорска.
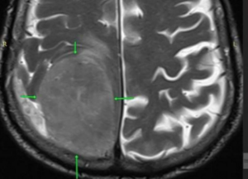
В правой теменно-затылочной области головного мозга, которая контролирует движение противоположной стороны тела, обнаружилось гигантское новообразование размером 8 на 7 сантиметров. Нейрохирурги городской клинической больницы Пятигорска провели сложнейшее вмешательство — костно-пластическую трепанацию черепа. Опухоль была полностью удалена.

Фото: Telegram-канал ГКБ Пятигорска
Послеоперационное контрольное исследование подтвердило, что мозг восстановил свою нормальную форму, а в области вмешательства не было признаков
кровотечения. Заведующий отделением нейрохирургии Гранд Кундупян отметил, что нейрохирургия — одно из флагманских направлений больницы. Ежегодно здесь выполняют более 400 операций, в том числе высокотехнологичных, по полисам ОМС. Спектр помощи широк: от опухолей и аневризм до сосудистых патологий и врожденных заболеваний центральной нервной системы.

Фото: Telegram-канал ГКБ Пятигорска
Состояние пациента после операции быстро улучшилось, к нему вернулась двигательная активность левой половины тела. Лабораторный анализ удаленной ткани показал, что опухоль имела доброкачественный характер.
Блокнот Ставрополь в MAX. Смирись и подпишись
Тося Жмыхова
Столкнулся с бедой, а власти не помогают? Заснял что-то необычное? Есть чем поделиться? Или хочешь разместить рекламу на наших площадках?
ПРИСЛАТЬ НОВОСТЬ