Здоровье
-
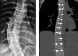
Опухоль из позвоночника через крошечный разрез удалили пациентке нейрохирурги Пятигорска
Почти год мучилась 28-летняя жительница Ставрополья от боли. Сначала у нее ныло в тазобедренном суставе, потом нога начала неметь, а затем появились проблемы...
Читать полностью...
- В Ставрополе
- «Твоя жизнь будет нехорошим сериалом»: ставропольчанку полгода терроризирует мужчина и угрожает ей в переписках 04.02.2026 Общество
- Поднять штраф до 420 миллионов просят осужденному экс-депутату думы Ставрополя Арашукову по делу о взятке 07.02.2026 Общество
- Бывший депутат со Ставрополья снова в центре скандала: как 22 миллиона растворились на стройке в ЛНР 04.02.2026 Политика
- Отмыли 229 миллионов в разгар пандемии: схема экс-главы фонда медстрахования Ставрополья Трошина 06.02.2026 Общество
- Интернет обвалился: жители Ставрополья пожаловались на сбои в работе провайдеров 08.02.2026 Общество
- Мэр-медиагигант со Ставрополя снова попал в очередной рейтинг в 2026 году вчера в 14:23 Политика
- Против трех экс-судей из Ставропольского края разрешили возбудить уголовные дела за взятки вчера в 18:14 Общество
- Телохранители Владимирова: во сколько обойдется налогоплательщикам Ставрополья защита губернатора 09.02.2026 Политика
- Замглавы Кисловодска «разошелся» на благоустройстве на 12 миллионов рублей и попал в СИЗО 06.02.2026 Политика
- Существенное похолодание снова идет на Ставрополье: губернатор сделал заявление 09.02.2026 Общество