-
АВТО Что известно о строительстве кольцевой дороги вокруг Ставрополя за 28 миллиардов рублей
13.01.2026
Детали раскрыли во время пресс-конференции губернатора
-
Общество Губернатор «оптимизировал» подорожание тарифов ЖКХ: чего ждать ставропольцам в платежках осенью 2026 года
13.01.2026
Предлагаем читателям выразить свое мнение в опросе в конце материала
-
Недвижимость Мэрия Ставрополя изымает участок и квартиру в аварийном доме на проспекте Карла Маркса
13.01.2026
Сообщение об этом уже опубликовано
-
Экономика Почти 530 миллиардов рублей оставили в магазинах и кафе жители Ставрополя за 11 месяцев
13.01.2026
Розничный оборот в краевой столице вырос
-
Экономика В платежках по капремонту жителям Ставрополья «пририсовали» долги и пени
13.01.2026
Неприятный сюрприз после Нового года
-
Происшествия Массовая эвакуация школ и детсадов прокатилась по Ставрополью из-за сообщений о минировании
13.01.2026
Экстренные службы на месте
-
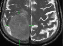
Здоровье В голове 85-летнего пенсионера в Пятигорске обнаружили опухоль размером с лимон
13.01.2026
Пациент жаловался на то, что левая часть тела перестала слушаться
-
АВТО Ставропольским водителям показали, что происходит на заснеженных трассах 13 января
13.01.2026
Сотрудники ГИБДД взывают к сознательности шоферов
-
Общество Снегопад и резкое ухудшение погоды идут в Ставрополь на Старый Новый год
13.01.2026
Будьте готовы к 13 января
-
Происшествия В Минводах пассажиров рейса из Стамбула держат в самолете на морозе с открытым люком
12.01.2026
Воздушное судно направлялось в Краснодар
- В Ставрополе
- Последний путь Владимира Дорошенко: жизнь экс-депутата думы Ставрополья оборвалась в зоне СВО 02.02.2026 Некрологи
- В зеленом массиве Ставрополя может появиться новая дорога только для жителей нового ЖК 31.01.2026 Письмо в редакцию
- В Невинномысске построят завод по производству НТФ за 291 миллион рублей 31.01.2026 Общество
- Расклад на миллионы: работа бюджетных содержанцев на территориях Ставрополья подорожала в год Огненной Лошади 03.02.2026 Политика
- После ареста организаторов «Кардо» правительство Ставрополья не отказалось от проведения фестиваля 03.02.2026 Общество
- Бил ножом, молотками и вафельницей: на Ставрополье задержали убийцу пятерых знакомых из Москвы 31.01.2026 Общество
- Не заплатил за заказ и ударил посетителя ножом в живот мужчина из Нефтекумска 02.02.2026 Общество
- «Твоя жизнь будет нехорошим сериалом»: ставропольчанку полгода терроризирует мужчина и угрожает ей в переписках 04.02.2026 Общество
- С осужденным за секс с детьми и торговлю людьми американцем Джеффри Эпштейном общалась ставропольская модель 02.02.2026 Общество
- Бывший депутат со Ставрополья снова в центре скандала: как 22 миллиона растворились на стройке в ЛНР 04.02.2026 Политика